Kolektív Oddelenia nádorovej biológie Virologického ústavu Biomedicínskeho centra SAV (VÚ BMC SAV) s veľkým nadšením prijal vyhlásenie laureátov Nobelovej ceny za fyziológiu a medicínu. Získali ju páni Gregg L. Semenza z Univerzity Johna Hopkinsa (USA), Peter J. Ratcliffe z Oxfordskej univerzity (Británia) a William G. Kaelin, Jr. z Harvardskej univerzity (USA), za výskum molekulárnych mechanizmov, prostredníctvom ktorých bunky vnímajú a adaptujú sa na nedostatok kyslíka, tzv. hypoxiu.

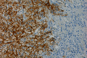
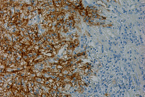
Hypoxia je fenomén, ktorému sa oddelenie venuje väčšinu svojho vedeckého života. Radosť je o to väčšia, že proteín CA IX (karbonická anhydráza IX) a jeho pH-regulačná funkcia, ktoré sú kľúčové pre hypoxickú adaptáciu nádorových buniek, boli objavené práve na Oddelení nádorovej biológie VÚ BMC SAV. Profesor Peter J. Ratcliffe, čerstvý „nobelista“, je spoluautorom článku o hypoxickej regulácii CA IX a s našimi kolegami, objaviteľmi CA IX, profesorom Jaromírom Pastorekom a profesorkou Silviou Pastorekovou, majú viaceré spoločné práce. Dôležitosť hypoxie spočíva v tom, že je charakteristická takmer pre všetky pevné nádory a zvyšuje metastatický potenciál nádorových buniek. Expresia CA IX je výrazne indukovaná v nádoroch s nedostatkom kyslíka a v celosvetovom meradle sa používa ako biomarker hypoxie. Pre väčšinu nádorov prítomnosť CA IX znamená zlú prognózu.
Okrem viacerých spoločných prác a publikácií, spolupracovalo a participovalo Oddelenie nádorovej biológie VÚ BMC SAV s profesorom Ratcliffom i na riešení dvoch Rámcových projektov EÚ. Projekty boli zamerané na identifikáciu hypoxických adaptačných dráh nádorových buniek, ktorých súčasťou je aj proteín CA IX, a na vývine nových terapeutických stratégií zasahujúcich hypoxickú odpoveď. Pre kolektív Oddelenia nádorovej biológie je veľkou cťou pracovať na téme, ktorá získala Nobelovu cenu.
Rozhovor s profesorkou Silviou Pastorekovou o enzýme, ktorý prispieva k metastázovaniu nádorových buniek (Denník N/BMC v médiách)
Kolektív Oddelenia nádorovej biológie
Zdroj foto: press release nobelprize.org
Sir Peter J. Ratcliffe; ll. Niklas Elmedhed. © Nobel Media.