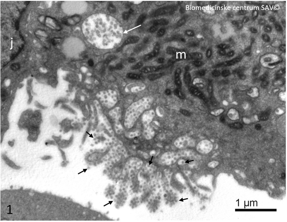
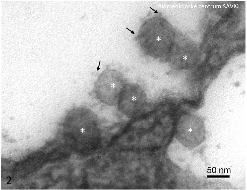
Vedcom z Biomedicínskeho centra SAV sa pomocou elektrónovej mikroskopie podarilo vizualizovať vírusové častice nového koronavírusu SARS-CoV-2 izolované zo slovenských pacientov s COVID-19. Nielen vedeckej komunite, ale aj širokej verejnosti sa tak naskytá unikátny pohľad na „slovenský“ vírus, ktorý je už niekoľko mesiacov stredobodom pozornosti a bezpochyby novodobou „mediálnou“ hviezdou. Získané obrazové dáta sa v súčasnosti analyzujú s cieľom detailného pochopenia jednotlivých krokov interakcie vírusu s infikovanými hostiteľskými bunkami.
Nemenej zaujímavou správou je, že 13. augusta vyšiel v uznávanom časopise európskych infektológov Eurosurveillance článok „Geographical and temporal distribution of SARS-CoV-2 clades in the WHO European Region, January to June 2020“, ktorý pojednáva o distribúcii a evolučnej príbuznosti vírusu SARS-CoV-2 v európskych krajinách v období od januára do júna 2020. Vďaka spolupráci výskumného tímu Dr. Borisa Klempu z Biomedicínskeho centra SAV s kolegami z Univerzitného vedeckého parku UK a Úradu verejného zdravotníctva v Bratislave boli do tejto analýzy zahrnuté aj sekvencie slovenských izolátov SARS-CoV-2, čím slovenskí vedci prispeli k poznatkom o šírení a genetickej diverzite nového koronavírusu v európskom regióne:
https://www.eurosurveillance.org/content/10.2807/1560-7917.ES.2020.25.32.2001410
Vírusové častice SARS CoV-2 v bunkách tkanivovej kultúry VERO E6 pozorované v elektrónovom mikroskope (JEM 1200) / autorka zobrazení Dr. Marta Novotová


BMC SAV
Snímky robené elektrónovým mikroskopom (JEM 1200), vyhotovila RNDr. Marta Novotová, CSc.